La parodontologia
La parodontologia è la disciplina che si occupa della diagnosi e la cura della gengivite e della sua evoluzione più grave, la parodontite. Questa malattia, meglio conosciuta come piorrea, può portare nel tempo alla perdita dei denti, ed ha condannato alla"dentiera" una grossa fetta di popolazione negli anni passati. Essa è un'infiammazione profonda che colpisce i tessuti di sostegno dei denti (gengiva, legamento parodontale e osso), e si manifesta spesso in maniera subdola e senza dolore per il paziente.

Le cause principali sono:
  • Cattiva igiene orale
  • Predisposizione ereditaria
  • Fumo
  • diabete


  • È un problema molto diffuso nella popolazione, che se non viene intercettato nel modo opportuno e il più tempestivo possibile porta con il tempo alla mobilità e alla successiva perdita dei denti.

    I primi sintomi della parodontite sono:
  • il sanguinamento durante lo spazzolamento dei denti e delle gengive (spesso mascherato nel suggetto fumatore, che quindi non si accorge di avere la malattia)
  • l'alitosi (alito cattivo)


  • Nelle fasi avanzate della Parodontite assistiamo invece spesso ai sintomi più gravi:
  • mobilità dei denti
  • spostamento dei denti dalla sede originaria
  • fastidio durante la masticazione


  • La terapia della Parodontite è oggi possibile con successo grazie all'applicazione dei protocolli di diagnosi e terapia dettati dalla Società Italiana di Parodontologia ( www.Sidp.it) .

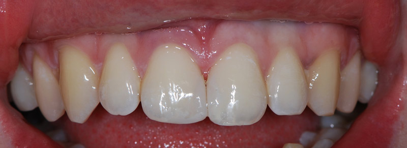
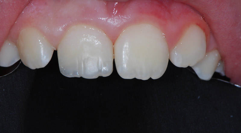
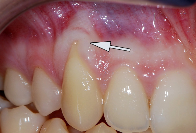
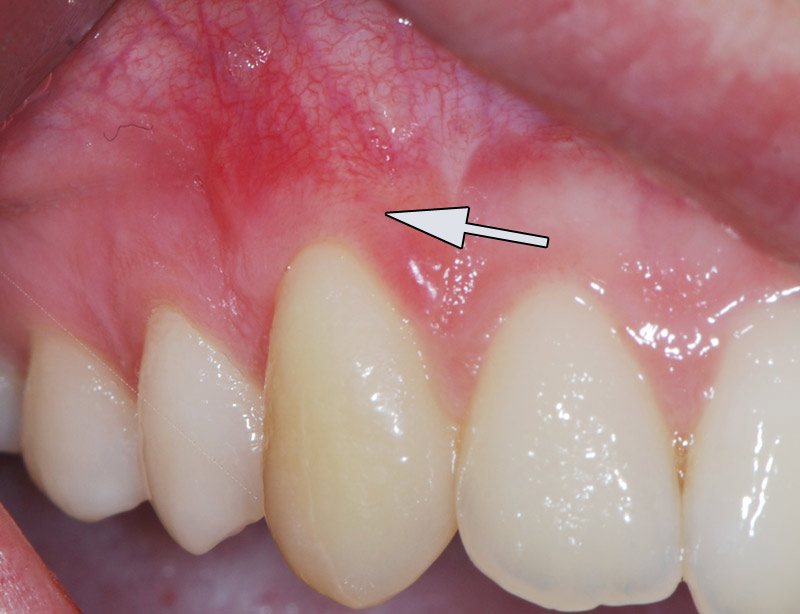
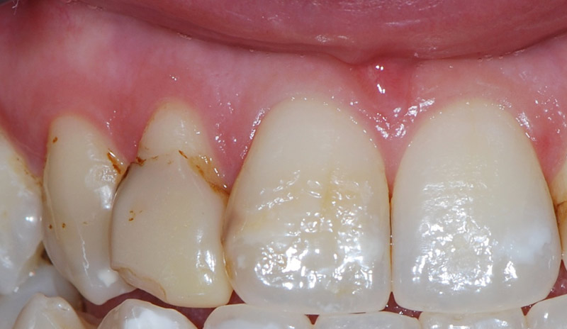
    La parodontologia si occupa anche della correzione di difetti gengivali che possono creare inestetismi e ipersensibilità.
         
    La parodontologia La parodontologia
    Esempio di ricopertura
    di una recessione gengivale
       


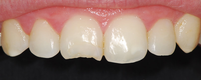
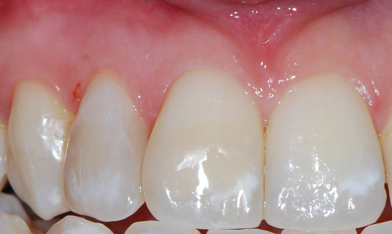
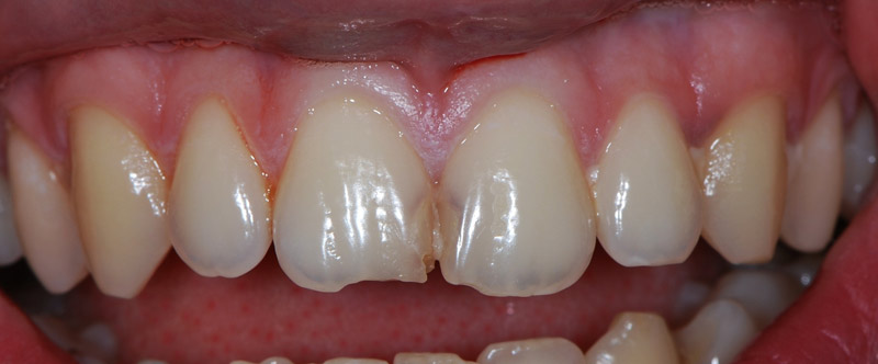
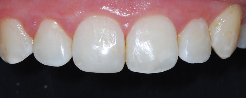
    La conservativa
    Si occupa del ripristino funzionale ed estetico dei denti colpiti da carie o che si sono fratturati in seguito a traumi. Spesso il rifacimento di una vecchia otturazione deteriorata può migliorare molto il nostro sorriso. Nel nostro studio non utilizziamo più amalgama d’argento per le ricostruzioni dei denti, ma solo materiali compositi e ceramiche altamente estetiche.
         
    La conservativa La conservativa
    Vedi altri esempi    


    Le corone e gli intarsi
    Sono una tecnica affidabile e duratura per recuperare denti gravemente compromessi.
    Le corone, meglio note come capsule, trovano la loro più frequente indicazione nei denti devitalizzati, che per loro natura sono più fragili e necessitano di una particolare protezione. L'effetto di "cerchiaggio" che la corona crea su questi denti previene la loro frattura, garantendone una maggior durata negli anni.
    L'intarsio è una corona parziale, che spesso non riveste tutto il dente, ma solo la parte danneggiata. E' la scelta di elezione nei denti con vecchie otturazioni estese che necessitano di essere sostituite.
         
    Le corone e gli intarsi Le corone e gli intarsi
    Vedi altri esempi    


    L'endodonzia
    E’ la disciplina che si occupa delle devitalizzazione di un dente gravemente compromesso da un processo carioso profondo o da un trauma che ha provocato la morte del nervo. L’endodonzia si occupa anche dei ritrattamenti che consistono nel rifacimento della terapia qualora quella precedente sia inefficace o incompleta.