L'IMPLANTOLOGIA
L'implantologia è la disciplina che ha rivoluzionato l'odontoiatria degli ultimi decenni, ed è diventata la scelta di elezione per la sostituzione dei denti mancanti.
La tecnica prevede l'inserimento nell'osso di viti di titanio biocompatibile con la funzione di "radici artificiali", che costituiscono l'ancoraggio per i nuovi denti. Le nuove tecniche e conoscenze hanno permesso di ridurre al minimo l'invasività degli interventi, che consentono di effettuare l'intervento in sicurezza e con minimo disagio per il paziente. Per avere una dentatura simile a quella naturale, non è sufficiente "avvitare una vite nell'osso", ma è fondamentale conoscere la gestione corretta della gengiva che andrà ad abbracciare il nuovo dente.
| |
|
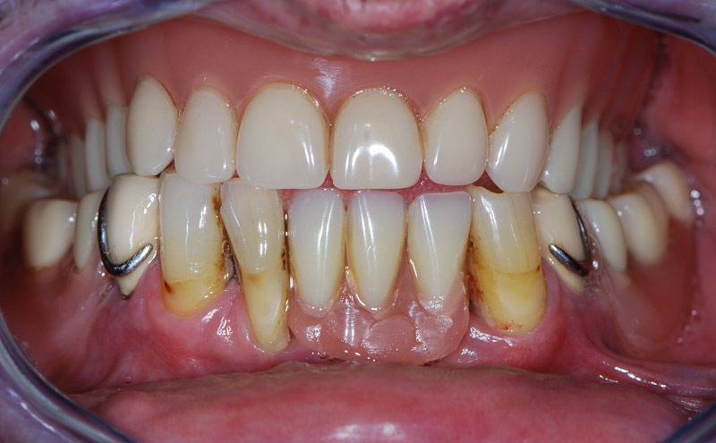
1 - Mancanza del dente e della gengiva |
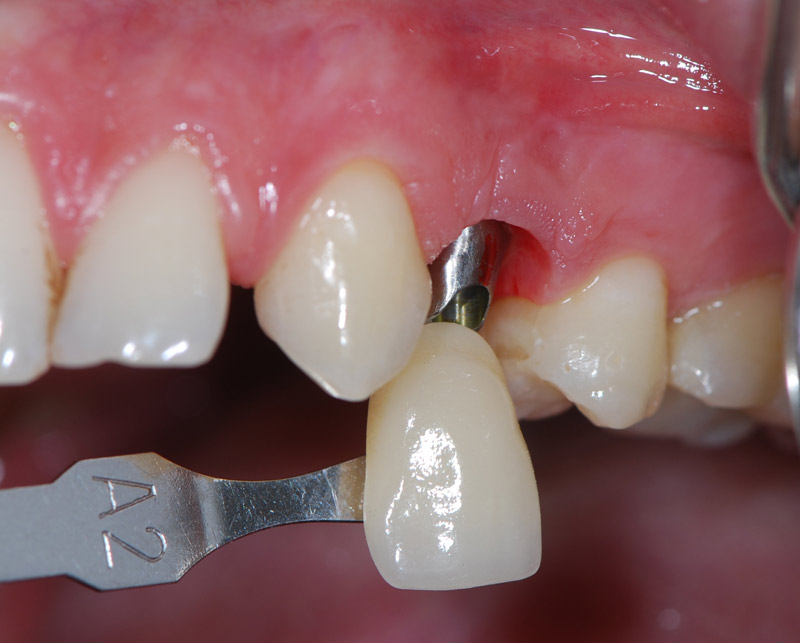
2 - Prova del moncone sull'impianto |
| |
|
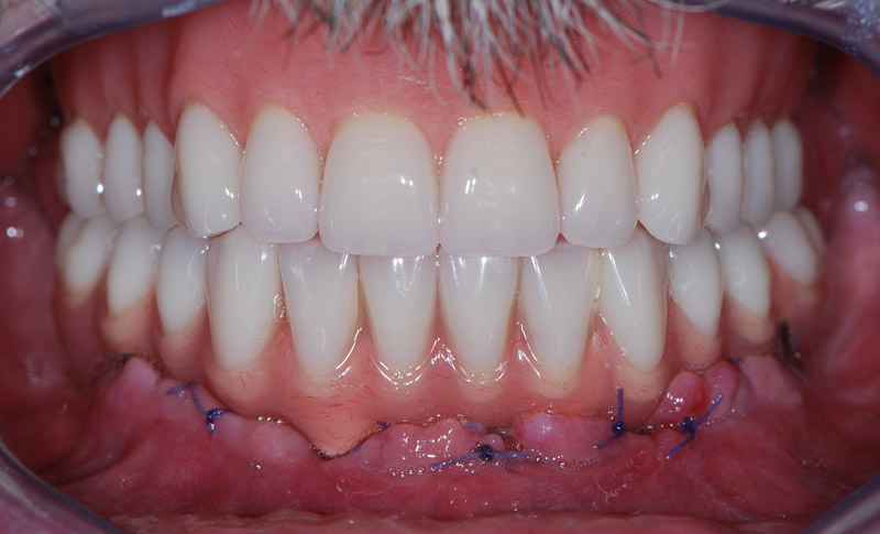
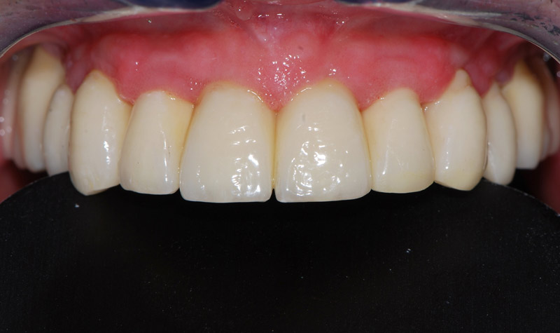
3 - Ripristino corretto del dente e della forma gengivale |
|
|
|
Il CARICO IMMEDIATO in 24 ore
Numerosi studi scientifici a medio-lungo termine hanno confermato la possibilità di effettuare il posizionamento di denti provvisori sugli impianti poche ore dopo il loro inserimento nell'osso del paziente. Tale scelta deve essere concordata con lo specialista in maniera da condurre la procedura in sicurezza evitando inutili rischi per il successo complessivo del trattamento.
LA RIGENERAZIONE OSSEA
Le nuove tecniche di GBR (Rigenerazione ossea guidata), consentono di effettuare il trattamento implantare anche quando non c'è disponibilità di osso. Infatti, capita spesso di osservare nei pazienti un grave riassorbimento di gengiva e di osso, spesso imputabile ad infezioni croniche e/o protesi mobili mal progettate.
Con questa tecnica il tessuto viene fatto ricrescere per ridare la forma corretta all'osso che si è riassorbito nel tempo. Molto spesso è possibile inserire contemporaneamente anche gli impianti, in maniera da ridurre il numero di interventi e quindi il disagio per i pazienti. Rispetto al passato le moderne tecniche di GBR consentono spesso di evitare il prelievo dell'osso dal paziente, utilizzando i tessuti forniti dalla banca dell'osso o idrossiapatiti di origine sintetica. Tutto questo a beneficio dei pazienti, che possono così evitare di essere sottoposti a un prelievo autogeno e quindi a un doppio intervento.
| |
|
 |
 |
| PRIMA |
DOPO |
Esempio di incremento di spessore e altezza dei tessuti in
una zona dove non era possibile inserire impianti
|
|